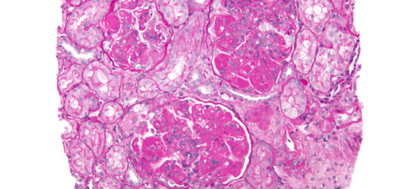
NSAIDS and Kidney Disease
NSAIDS are known to be nephrotoxic. 1-5% of NSAID users have an adverse kidney event Patients with kidney disease are often advised to refrain from NSAIDS. The thing is NSAIDS work. I’m a nephrologist who takes NSAIDS while advising my patients with CKD to avoid them. What gives? I recently was asked what




